Skip Menu

8969 Complex Drive A, San Diego, CA 92123
(858) 278-1454
Connect with Us:
Logo
  • Home
  • About Us
    • Our Office
    • New Patients
    • Smile Gallery
    • Dental Videos
    • Reviews
  • Our Doctor
    • Guy Sutton, DDS
  • Services
      • 3M™ Clarity Orthodontics
      • All on 4®
      • Bonding
      • Clear Aligners
      • Crowns & Caps
      • Crown Lengthening
      • Dental Bridges
      • Dental Cleanings
      • Digital Radiography
      • Implant Dentistry
      • Inays/Onlays
      • Oral Cancer Screening
      • Oral Exams
      • Oral Surgery
      • Periodontal Treatment
      • Root Canals
      • Teeth Whitening
      • Veneers
      • White Fillings
    • View All
  • Technology
    • BioClear
    • CBCT
    • CEREC® Crowns
    • Digital Radiography
    • Intraoral Camera
    • Rotary Endodontics
  • Dental Health
  • Contact
    • Contact Us
    • Request Appointment

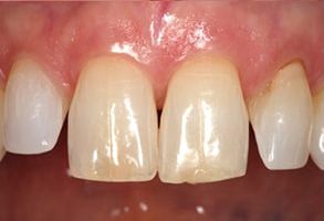
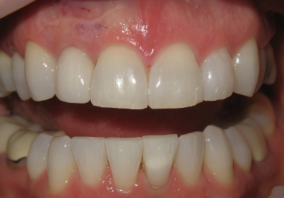
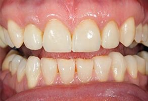
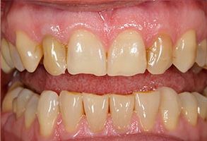
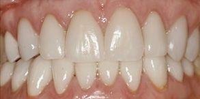
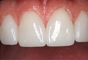
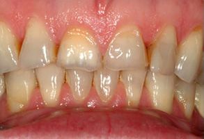
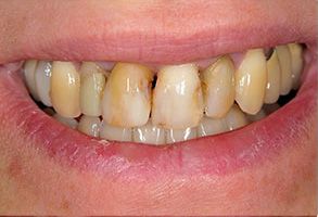
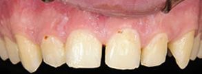
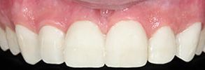
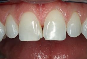
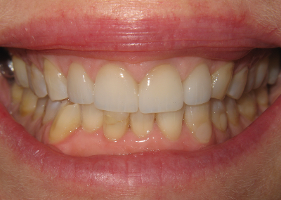
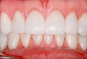
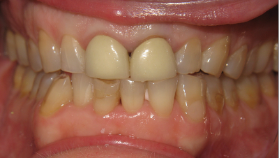
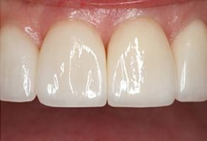
Smile Gallery

Additional Information

Our Location

8969 Complex Drive A
San Diego, CA 92123
(858) 278-1454

Follow Us